Quanto costa sbiancare i denti dal dentista
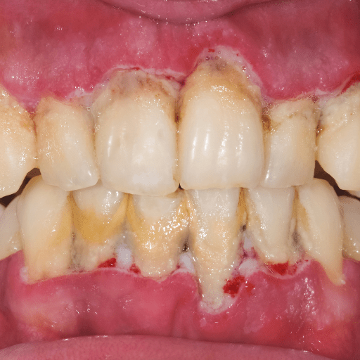
Introduzione Un sorriso è spesso la prima cosa che le persone notano su di te. E un sorriso bianco e luminoso può fare una grande differenza nella prima impressione che lasci. Tuttavia, una recente indagine ha rivelato che una significativa percentuale di persone è insoddisfatta del colore dei loro denti. Questa insoddisfazione ha portato molti …









